| Evolution et caractéristiques - Les Ptéridophytes - Légendage 4 |
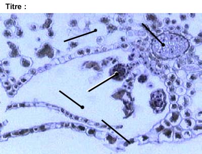
| Vous avez deux minutes pour légender cette phototographie |

Auteur : Pascal Gantet, 2000
Programmation : David Gerbron d'après un script de Dominique Bouvier, 2000
| Evolution et caractéristiques - Les Ptéridophytes - Légendage 4 |